Introduction
Hearing loss is the most prevalent sensory disorder globally, affecting approximately 466 million people. To date, there are no commercial biological therapies that fully restore hearing. Recent advances in genetic research have illuminated the molecular mechanisms of sensorineural hearing loss, laying the groundwork for gene therapies. Among these, base editing—including adenine base editors (ABEs)—is a cutting-edge technology that can directly correct pathogenic point mutations without creating double-stranded DNA breaks, which often cause genomic instability.
A paper published in Nature Communications by a team led by Professor Yilai Shu of Fudan University and researchers from Seoul National University Hospital details a significant advancement in gene therapy for hereditary deafness.
The study targets congenital hearing loss caused by the East Asian founder mutation c.220C>T (p.Q74X) in MPZL2. This nonsense mutation accounts for a significant fraction (~9%) of hereditary deafness in East Asian cohorts. Current clinical interventions (hearing aids, cochlear implants) cannot restore biological hearing, underscoring the need for genetic therapies. The authors propose ABE delivered by adeno-associated virus (AAV) vectors to directly correct this mutation.
Key Highlights
ABE enables precise A·T-to-G·C base editing without inducing double-strand breaks, offering therapeutic potential for genetic disorders
A humanized mouse model (hMPZL2^Q74X/Q74X)was developed, replicating progressive hearing loss and inner ear defects seen in DFNB111 patients
ABE8eWQ-SpRY with sgRNA3was optimized for high editing efficiency (~60% in vitro) and minimal off-target effects
Dual AAV delivery of the editor restored hearing, cochlear structure, and gene expression in vivo, supporting a potential “one-and-done” therapy for DFNB111, especially in East Asian populations.
Method Description
-
- Cohort Study (China & Korea): 1,437 families with symmetric, mild-to-moderate hearing loss was analyzed using whole-exome and whole-genome sequencing to identify the genetic landscape and prevalence of the MPZL2 c.220C>T mutation
-
- Mouse Model Generation: A humanized knock-in mouse model (hMPZL2Q74X/Q74X) was created by inserting the human MPZL2 cDNA containing the pathogenic c.220C>T mutation into the mouse Mpzl2 locus. This model accurately recapitulated the progressive hearing loss and inner ear structural defects (e.g., loss of outer hair cells) seen in human patients
-
- Base Editor Screening: To correct the mutation (an A•T to G•C reversion), the team screened various ABE systems. The challenge was that the target adenine was not near a standard “NGG” PAM sequence required by most Cas9 enzymes. They tested multiple PAM-flexible Cas9 variants (SpCas9, NG-Cas9, SpRY, eNme2-C) paired with different sgRNAs
-
- Optimal System Selection: The combination ABE8eWQ-SpRY with sgRNA3 was selected as optimal. It achieved high editing efficiency (~51-60% in vitro) at the target site (A5) with minimal bystander edits (editing of nearby non-target adenines) and low RNA off-target effects
-
- AAV Delivery: Due to the large size of the ABE8eWQ-SpRY construct, a dual-AAV system utilizing a split-intein approach was used. The ABE was split into two parts, each packaged into a separate AAV vector. Upon co-infection in a cell, the intein segments facilitate protein trans-splicing, reconstituting the full, functional ABE.
-
- Critically, the dual AAV plasmids were packaged into the AAV serotype AAV-ie (known for superior inner ear tropism) by PackGene Biotech, a leading AAV service provider. The final viral vectors (AAV-ie-ABE8eWQ-SpRY_N and _C) had titers of 5.0 × 10¹³ vg/mL.
-
- AAV Delivery: Due to the large size of the ABE8eWQ-SpRY construct, a dual-AAV system utilizing a split-intein approach was used. The ABE was split into two parts, each packaged into a separate AAV vector. Upon co-infection in a cell, the intein segments facilitate protein trans-splicing, reconstituting the full, functional ABE.
-
- In Vivo Therapy: Neonatal (P1-2) hMPZL2Q74X/Q74X mice received a 2 μL injection of the mixed dual AAVs into the inner ear via the round window membrane
-
- Assessment: Treated mice were extensively evaluated over 20 weeks for
-
- Editing efficiency (DNA and RNA level) in the cochlea and potential off-target sites in other organs.
-
- Auditory function using Auditory Brainstem Response (ABR) and Distortion Product Otoacoustic Emissions (DPOAE) tests.
-
- Structural rescue of the inner ear using immunohistochemistry and electron microscopy.
-
- Molecular rescue via RNA-seq to analyze changes in gene expression pathways.
-
- Assessment: Treated mice were extensively evaluated over 20 weeks for
Key Results
MPZL2 mutation strongly associated with hereditary deafness in East Asians
In a cohort of 1,437 families screened for non-syndromic sensorineural hearing loss, the authors identified GJB2 (36.8%), STRC (18.1%), and MPZL2 (9.0%) as the three most frequent causative genes. Notably, within MPZL2-associated cases, 95.8% of patients carried at least one c.220C>T allele, and 79.2% were homozygous. Serial audiograms demonstrated a progressive decline in hearing over decades, with an annual threshold shift of approximately 0.6 dB across frequencies. The mutation was strongly enriched in East Asian populations, supporting its classification as a founder mutation. These findings confirmed that correcting this single variant could benefit a significant proportion of hereditary deafness cases in East Asia.
Figure 1. clinical evidence of the MPZL2 c.220C>T founder mutation in hereditary deafness.
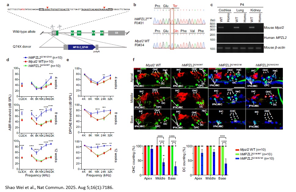
Successful generation and characterization of humanized MPZL2Q74X/Q74X mice
A humanized MPZL2 mouse model carrying the c.220C>T mutation (hMPZL2^Q74X/Q74X) was generated. These mice displayed progressive high-frequency hearing loss, with auditory brainstem response (ABR) thresholds elevated by 14–24 dB at four weeks of age and exceeding 70 dB by twelve weeks. The elevated ABR and DPOAE thresholds, alongside the visible degeneration of outer hair cells and Deiters’ cells in the cochlea, confirm the model’s validity. Crucially, RNA-seq analysis revealed that the mutation disrupts key biological pathways, including extracellular matrix organization and cell adhesion, providing a molecular explanation for the structural collapse and functional deficit observed in the inner ear.
Figure 2. Generation and characterization of a humanized MPZL2 mouse model carrying the c.220C>T mutation (hMPZL2^Q74X/Q74X).
In vitro screening process to identify the optimal gene editing tool.
The researchers optimized ABEs in vitro to correct the c.220C>T mutation. Using engineered HEK293T cells carrying mutation, they tested 14 different ABE:sgRNA combinations. Because the target locus lacked canonical NGG PAMs, PAM-flexible Cas9 variants were essential. The most effective construct was ABE8eWQ-SpRY:sgRNA3, which achieved ~52% correction efficiency at the target base while minimizing bystander edits (0.1–0.8%) and showing negligible cytosine editing. Off-target analysis using Cas-OFFinder and GUIDE-seq detected only minimal activity, mostly in intronic or intergenic regions.
Figure 3. Adenine base editors (ABEs) correct the c.220C>T mutation in vitro.
In Vivo Editing and Functional Rescue via dual AAV-ie system
Figures 4 to 6 demonstrated that AAV-delivered base editing successfully corrected the MPZL2 mutation in vivo, leading to durable functional, structural, and molecular rescue. A dual AAV-ie system, used to bypass packaging limits, achieved 2% DNA and 3–6% RNA correction in neonatal hMPZL2^Q74X/Q74X mice without detectable off-target effects. Despite modest editing efficiency, treated animals showed marked auditory recovery: ABR thresholds improved by 12–28 dB at 12 weeks and up to 44 dB at 20 weeks, while DPOAE testing confirmed progressive outer hair cell recovery at mid- and high-frequency ranges. Histological analysis further revealed preservation of outer hair cells and supporting cells in treated cochleae, contrasting with the extensive degeneration seen in untreated mice. Transcriptomic profiling reinforced these findings, showing normalization of extracellular matrix and adhesion pathways disrupted by the mutation. Together, these results demonstrated that AAV-mediated base editing not only restored hearing but also protected cochlear structure and corrected underlying molecular defects.
Figure 4. Successful delivery of the base editor in vivo using dual AAV.
Figure 5. Functional restoration of hearing in treated mice.
Figure 6. Histological rescue of cochlear structures was observed in treated animals.
Conclusion
The study concludes that the PAM-flexible base editing system ABE8eWQ-SpRY, delivered via a dual AAV-ie vector system, can safely and effectively correct the prevalent East Asian founder mutation MPZL2 c.220C>T in a humanized mouse model. This precise correction led to the long-term restoration of auditory function, preservation of crucial inner ear cells, and the reversal of pathogenic molecular pathways.
This research’s impact is significant on multiple fronts. Therapeutically, it validates a superior strategy over traditional gene replacement, which can lead to overexpression, or nuclease-based CRISPR, which can cause dangerous double-strand breaks. Base editing offers a precise, safe, and permanent correction. Clinically, it identifies a large, genetically homogenous patient population that could benefit from a single therapeutic agent, which greatly facilitates the path to clinical translation. Technically, the use of the PAM-flexible SpRY variant expands the number of disease-causing mutations that can be targeted by base editors, making this platform applicable to many other genetic disorders. The work also provides a clear roadmap for translating this discovery into a clinical-grade gene therapy, with the involvement of AAV manufacturing specialists like PackGene Biotech being a critical step in bridging the gap between academic research and clinical application.
References:
https://pmc.ncbi.nlm.nih.gov/articles/PMC12325647/
About PackGene
PackGene Biotech is a world-leading CRO and CDMO, excelling in AAV vectors, mRNA, plasmid DNA, and lentiviral vector solutions. Our comprehensive offerings span from vector design and construction to AAV, lentivirus, and mRNA services. With a sharp focus on early-stage drug discovery, preclinical development, and cell and gene therapy trials, we deliver cost-effective, dependable, and scalable production solutions. Leveraging our groundbreaking π-alpha 293 AAV high-yield platform, we amplify AAV production by up to 10-fold, yielding up to 1e+17vg per batch to meet diverse commercial and clinical project needs. Moreover, our tailored mRNA and LNP products and services cater to every stage of drug and vaccine development, from research to GMP production, providing a seamless, end-to-end solution.